培训时间:2026年4月11日-4月12日
培训地点:石家庄市第三医院(河北省石家庄市长安区体育南大街15号)
联合特惠学费:2980元/人 报名:13315481874 王老师
两项临床刚需微创技术合并授课,理论精讲+实操手把手教学,零基础可学,拇外翻专项学不会可免费留院进修,名额稀缺,先报先得!
一、培训背景
拇外翻是临床高发常见足病,我国整体发病率约10%-20%,患者群体逼近1亿人次,其中女性患者占比高达95%。这类病症常伴随拇囊炎肿痛、锤状趾、足底胼胝体疼痛等问题,轻则影响日常行走穿鞋,重则引发足部畸形加重,临床诊疗与康复需求常年居高不下,是基层及专科门诊的高频诊疗项目。
颈肩脂肪垫增生也就是大家俗称的富贵包,属于颈椎病关联的软组织增生问题,近些年发病率持续上升,且发病群体逐渐年轻化。富贵包不光影响体态美观,更会引发头晕头痛、上肢麻木、血压波动、颈肩活动受限等不适,临床干预需求大,微创治疗因创伤小、恢复快、患者接受度高,成为主流诊疗方式。
为帮助广大临床医师快速掌握两项易开展、见效快、受众广的特色微创诊疗技术,填补临床实用技术学习缺口,本次特将原有拇外翻微创、富贵包微创两大独立学习班合并举办,特邀业内资深专家全程授课,摒弃纯理论灌输,全程主打实操教学,让学员两天吃透两项核心技术,学成即可落地临床应用,拓宽诊疗业务范围。
二、特邀授课专家
冯建书:石家庄市第三医院(石家庄市骨科医院)副院长、手足外科主任,主任医师。深耕手足外科与微创矫形领域多年,尤其擅长微创治疗拇外翻、四肢复杂损伤功能重建,临床实战经验丰厚,兼具扎实理论功底与细致教学风格,荣获多项省市级专业荣誉,教学通俗易懂,深受历届学员认可。
刘娜:河北医科大学第三医院专科专家,专注颈肩软组织微创诊疗、疼痛康复领域,技术功底扎实,擅长拆解复杂操作步骤,针对性适配不同基础的学员学习,授课逻辑清晰。
韩传飞:商丘中心医院专家,主攻软组织微创松解与祛除技术,实操教学经验丰富,格外注重临床实操细节与风险规避,全程手把手带教,确保每位学员熟练掌握核心操作手法。
三、培训详细安排
⏰ 培训时长
2026年4月11日-4月12日,全程两天,分专项系统授课,节奏紧凑,干货满满,无冗余内容
📍 培训地点
石家庄市第三医院(河北省石家庄市长安区体育南大街15号)
📅 每日课程明细
4月11日:拇外翻微创专项
上午:理论核心课程,涵盖拇外翻微创治疗原理、影像学检查与分型诊断、个性化手术方案制定、术后并发症预防与功能锻炼全程指导,夯实理论基础
下午:手术室现场观摩+动物标本实操截骨,学员亲手动手操作练习,授课专家现场一对一指导纠错,快速掌握实操要点
晚上:免费学术交流晚宴(自愿参加),可与授课专家面对面交流答疑,深入探讨临床实战遇到的各类问题,拓展行业人脉
4月12日:富贵包(颈脂肪垫增生)微创专项
四、培训费用说明
拇外翻微创学习班:2500元/人
富贵包(颈脂肪垫增生)微创学习班:1980元/人
两个同时参加 联合学习班优惠学费:2980元/人
费用包含:两天全程专家授课费、实操耗材费、现场指导答疑等全部培训相关费用,无额外隐形收费
食宿费用:学员食宿自理,会务组可协助推荐周边便捷住宿,有需求可提前联系报名老师沟通
发票开具:正规会务费发票,由石家庄君臣佐使会议服务有限公司或石家庄扶阳派健康管理有限公司开具,报名时可提前咨询相关事宜
五、报名须知与注意事项
温馨提示:本次培训全程主打临床实操+技术落地,侧重实战教学,专为想要提升专科诊疗技能、开展特色诊疗项目的临床医师打造;报名成功后请按时到场参训,全程参与学习,最大化掌握两项核心微创技术。
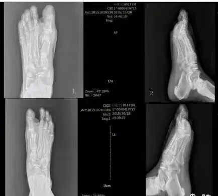
术前术后对比图
术前术后X光片对比图
术后X光片参考
往期学员学习情况
富贵包:
采用无抽吸旋切设备(石家庄君吒电子产医用磨钻)治疗项肩部脂肪垫患者,局部肿胀麻醉后于脂肪垫边缘2cm 切一2毫米切口,插入旋切针,反复切割至术区组织(坚韧的结缔组织),最后进行抽吸,患者均未发生局部组织坏死、血肿、感染,颈肩部隆起明显消退,轮廓弧度改善,无瘢痕。术后3个月随访无复发。该方法可有效避免因单纯抽吸脂肪垫引起的术后局部皮肤不平整、皮肤淤紫明显等情况,也可避免组织剪切后抽吸所致的术中、术后出血。该法是在单纯抽吸和组织剪切后抽吸的基础上改进 而 来,相 比 之 下 更 具 优 势,值 得 临 床 推 广运用。详细资料我这里有,需要联系:13315481874 王老师(同微信)更多详情可电话微信:13315481874(微信同号)或扫下方二维码:
全国供应疼痛科药品和器械
药品:伊痛舒、曲安奈德、得宝松、倍他米松、玻璃酸钠、鹿瓜多肽、萘丁美酮、美索巴莫片、来氟米特、舒筋丸、山药丸、三妙丸、祛腐生肌膏、鱼肝油、依降钙素、等100多种;
器械:针刀、刃针、长针头、松筋针、埋线针、椎间盘针、侧隐窝针、银质针、钩针、骨减压针、灌洗针、穿刺针、火针、中频、微波、20路内热仪、麻醉枪、臭氧机、射频、离子束疼痛治疗仪(高频电火花治疗仪)、医用离心机、体外冲击波、医用电动锯钻、关节镜、动力系统 膝熏洗 经络通等
详询具体内容 电话(微信)13315481874(王经理)
经典著作《镇痛注射技术图解》电子书免费领取~

免费领取方式:
长按底部二维码添加微信号免费领取!
更多医学资料想要送给你哦!
扫码有惊喜~
