特
别
推
荐
近期培训课程汇总如下,咨询热线:18633858851
培训安排1:中医面部无痛“美疗一体”全案运营与技术实战研修班
培训安排2:静脉曲张、腋臭临床观摩学习班—广州站
培训安排3:UBE单边双通道脊柱内镜零基础实操班
培训安排4:颈椎病软组织旋切(颈脂肪垫增生)富贵包技术培训班


一、讲课老师:
冯建书:教授,主任医师。原石家庄市第三医院业务院长。骨科学术带头人。擅长对周围神经、四肢血管、骨关节损伤的诊治以及四肢复杂损伤的功能重建、先天畸形的矫形、微创治疗拇外翻、骨不连、骨髓炎骨延长及各种带蒂及游离皮瓣的应用。采用中西医结合微创治疗拇外翻技术,累计为6000多例拇外翻患者,解除了长期病痛,收到非常好的治疗效果,获得患者一致好评。中华医学会华北手外科分会委员,中华医学会河北手外科分会常务委员,河北省医师学会手外科分会第一届常务委员,河北省中西医结合骨伤科专业委员会委员。参加工作以来连续多次荣获三等功、二等功。2006年荣获石家庄卫生系统 “优秀大篷车专家”。2003-2010年连续四八年被评为院级先进个人,局级服务标兵。2007年被评为石家庄市卫生系统“为民.务实.清廉”标兵。省卫生系统“十大服务标兵”称号。主持省市级多项科研课题,发表国家级、省级论文十余篇 。








下午安排医生分组进手术室观摩,老师边手术边讲解在术中需要注意的地方,通过近距离的观摩深入掌握了解这项技术

上图为分析患者的患病情况
手术现场视频参考

术后通过便携式射线机查看截骨情况
,时长00:23
,时长00:03
培训间隙医生自己练习截骨角度及方向

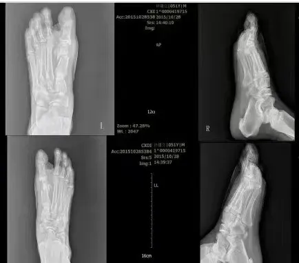
上图为术前术后对比图



术前术后X光片对比图



微创所需设备和手术器械:C形臂X线机或微型C形臂X线机、足踝微创动力系统,裂钻,磨头微创复位器械,微型骨膜剥离子,骨科手术常规操作器械,克氏针。















以上学习班名额有限,如有意向均需提前报名!
在骨科微创技术快速发展的背景下,君臣佐使骨科会议服务公司连续推出一系列骨科疼痛科微创学习班,学习班侧重学员亲自动手操作的机会。接下来还会推出更多的骨科微创技术培训班。
阅读是一种智慧,
转载是一种动力,
分享是一种美德。
如果您有所收获,请分享给更多朋友!传递能量分享智慧欢迎转载!更多精彩请关注微信号:18633858851 或关注公众号,扫描以下二维码关注即可

更多详情可点击:《成就骨科疼痛专科医院必备“十大法宝”》
全国供应疼痛科药品和器械
药品:伊痛舒、曲安奈德、得宝松、倍他米松、玻璃酸钠、鹿瓜多肽、萘丁美酮、美索巴莫片、来氟米特、舒筋丸、山药丸、三妙丸、祛腐生肌膏、鱼肝油、依降钙素、等100多种;
器械:针刀、刃针、长针头、松筋针、埋线针、椎间盘针、侧隐窝针、银质针、钩针、骨减压针、灌洗针、穿刺针、火针、中频、微波、20路内热仪、麻醉枪、臭氧机、射频、离子束疼痛治疗仪(高频电火花治疗仪)、医用离心机、体外冲击波、医用电动锯钻、关节镜、动力系统 膝熏洗 经络通等
详询具体内容 电话(微信)18633858851(王经理)
致力于骨科疼痛科技术推广,定期举办以下现场临床培训班,以下学习班每月一期(可扫以下二维码加好友详询)






