

一、讲课老师:
冯建书:教授,主任医师。原石家庄市第三医院业务院长。骨科学术带头人。擅长对周围神经、四肢血管、骨关节损伤的诊治以及四肢复杂损伤的功能重建、先天畸形的矫形、微创治疗拇外翻、骨不连、骨髓炎骨延长及各种带蒂及游离皮瓣的应用。采用中西医结合微创治疗拇外翻技术,累计为6000多例拇外翻患者,解除了长期病痛,收到非常好的治疗效果,获得患者一致好评。中华医学会华北手外科分会委员,中华医学会河北手外科分会常务委员,河北省医师学会手外科分会第一届常务委员,河北省中西医结合骨伤科专业委员会委员。参加工作以来连续多次荣获三等功、二等功。2006年荣获石家庄卫生系统 “优秀大篷车专家”。2003-2010年连续四八年被评为院级先进个人,局级服务标兵。2007年被评为石家庄市卫生系统“为民.务实.清廉”标兵。省卫生系统“十大服务标兵”称号。主持省市级多项科研课题,发表国家级、省级论文十余篇 。

或扫描下方二维码添加好友

相关设备介绍:

配置:主机外观一模一样,脚踏,高扭矩电机,手机2只,电源线,截骨磨头2种型号的标配4只,两种型号摆锯共2只,锯片10片,专用鞋子4双,清洗剂一瓶,工具4把








冯主任授课现场








术前术后对比图



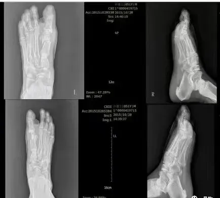
术前术后X光片对比图



术后X光片参考
往期学员学习情况
















石家庄君吒微创拇外翻专用医用电动锯钻(磨骨钻),三证齐全,可提供正规发票,支持全国货到付款。厂家针对基层医疗机构提供全方位技术帮扶与支持。
技术学习与购买磨骨钻请拔打全国热线:15530185163 王经理

技术咨询、临床观摩、学习培训、机器购买与维修详询:15530185163(微信同号)或扫下方二维码:

添加微信免费领取拇外翻微创内部学习资料:15530185163(微信同号)或扫上方二维码

更多详询:15530185163(微信同号)王老师
阅读是一种智慧,
转载是一种动力,
分享是一种美德。
如果您有所收获,请分享给更多朋友!传递能量分享智慧欢迎转载!更多精彩请关注微信号:15530185163 或关注公众号,扫描以下二维码关注即可

更多详情可点击:《成就骨科疼痛专科医院必备“十大法宝”》
全国供应疼痛科药品和器械
药品:伊痛舒、曲安奈德、得宝松、倍他米松、玻璃酸钠、鹿瓜多肽、萘丁美酮、美索巴莫片、来氟米特、舒筋丸、山药丸、三妙丸、祛腐生肌膏、鱼肝油、依降钙素、等100多种;
器械:针刀、刃针、长针头、松筋针、埋线针、椎间盘针、侧隐窝针、银质针、钩针、骨减压针、灌洗针、穿刺针、火针、中频、微波、20路内热仪、麻醉枪、臭氧机、射频、离子束疼痛治疗仪(高频电火花治疗仪)、医用离心机、体外冲击波、医用电动锯钻、关节镜、动力系统 膝熏洗 经络通等
详询具体内容 电话(微信)15530185163(王经理)QQ:2938319400 或扫下方二维码即可:
获得更多医学药品针具器械咨询!

2025年近期培训班安排计划如下
(电话微信:15530185163)
●10月25日全国肌骨超声可视化技术临床观摩实操班
●10月25日全临床人体精细解剖班(针具应用)
●11月15日全国肌骨超声可视化技术临床观摩实操班
●11月22日颈椎病软组织旋切(颈脂肪垫增生)富贵包技术培训班
●11月22日腋臭旋切微创治疗学习班
●11月23日偏瘫外科手术治疗标本班
●11月29日肌骨超声颈椎腰椎射频消融技术大体实操班
●12月6日UBE单边双通道脊柱内镜+局麻膝关节镜零基础实操班
君臣佐使医学院 VIP 终身会员(含线下全部学习班)重磅上线!
以上学习班名额有限,如有意向均需提前报名!
更多详情可电话微信:15530185163(微信同号)或扫下方二维码:

加微信发送学习班邀请函及学习资料
在骨科微创技术快速发展的背景下,君臣佐使骨科会议服务公司连续推出一系列骨科疼痛科微创学习班,学习班侧重学员亲自动手操作的机会。接下来还会推出更多的骨科微创技术培训班。
阅读是一种智慧,
转载是一种动力,
分享是一种美德。
如果您有所收获,请分享给更多朋友!传递能量分享智慧欢迎转载!更多精彩请关注微信号:15530185163 或关注公众号,扫描以下二维码关注即可











更多详情可点击:《成就骨科疼痛专科医院必备“十大法宝”》
全国供应疼痛科药品和器械
药品:伊痛舒、曲安奈德、得宝松、倍他米松、玻璃酸钠、鹿瓜多肽、萘丁美酮、美索巴莫片、来氟米特、舒筋丸、山药丸、三妙丸、祛腐生肌膏、鱼肝油、依降钙素、等100多种;
器械:针刀、刃针、长针头、松筋针、埋线针、椎间盘针、侧隐窝针、银质针、钩针、骨减压针、灌洗针、穿刺针、火针、中频、微波、20路内热仪、麻醉枪、臭氧机、射频、离子束疼痛治疗仪(高频电火花治疗仪)、医用离心机、体外冲击波、医用电动锯钻、关节镜、动力系统 膝熏洗 经络通等
详询具体内容 电话(微信)15530185163(王经理)QQ:2938319400 或扫下方二维码即可:
获得更多医学药品针具器械咨询!

经典著作《镇痛注射技术图解》电子书免费领取~



免费领取方式:
长按底部二维码添加微信号免费领取!
更多医学资料想要送给你哦!
扫码有惊喜~
